症例|おぐら歯科クリニック|あびこ駅の歯医者・歯科

〒558-0011大阪府大阪市住吉区苅田9丁目11−16
電話番号06-7668-2290
WEB予約
ヘッダー画像

症例

症例|おぐら歯科クリニック|あびこ駅の歯医者・歯科

インビザライン矯正症例☆20代女性~上顎のみ矯正

みなさんこんにちは(^o^)丿   今日はインビザライン矯正のbefo…

プレオルソ~小児用マウスピース型矯正~ 症例☆彡

みなさんこんにちは(^o^)丿   今日は小児用マウスピース型矯正装置…

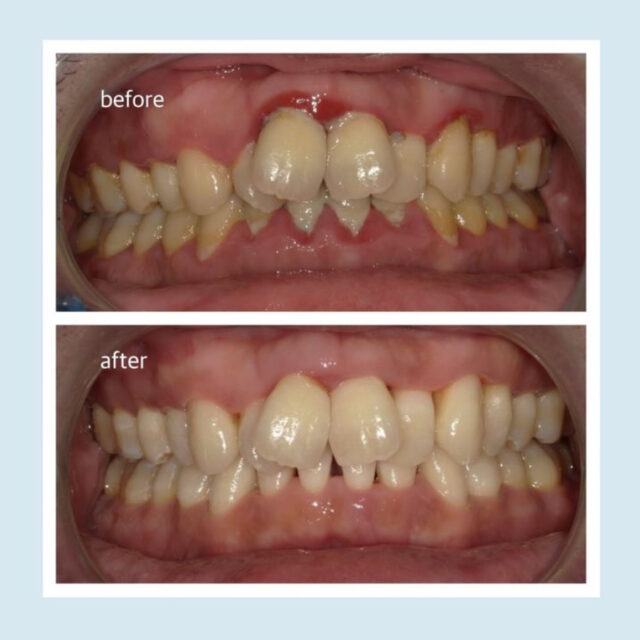
歯周病治療beforeafter!

みなさんこんにちは(^o^)丿   歯周病とは歯肉炎が悪化し進行した状…

着色除去beforeafter!

みなさんこんにちは(^o^)丿 歯の表面に着色が付着してしまうと その上から歯垢…